Image
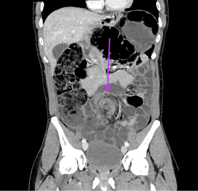
Le Whirlpool sign
12.10.2023

Un patient, connu pour une constipation chronique, se présente aux urgences avec des douleurs abdominales diffuses avec vomissement ainsi qu’un arrêt du transit depuis 48h.

Ce scanner met en évidence un signe de Whirlpool (ou Whirl) qui représente la torsion du mésentère du sigmoïde et des vaisseaux mésentériques, diagnostic dans ce cas de volvulus du sigmoïde. On constate une dilatation en amont de l'ensemble du cadre colique et de quelques anses iléales avec stase colique importante, sans signes de souffrance intestinale.

Les occlusions basses représentent 25-35 % de l’ensemble des occlusions digestives, les causes principales étant le cancer colique, la sigmoïdite diverticulaire et le volvulus colique. Le volvulus du sigmoïde, 6% des occlusions intestinales, correspond à la torsion du sigmoïde autour de son méso avec un degré de rotation de 180 à 360° et touche essentiellement les sujets âgés, peu mobiles, constipés chroniques. Il existe des prédispositions anatomiques chez certains sujets (dolichocôlon : boucle sigmoïdienne longue, mobile, congénitale) et une prédisposition masculine.

Le tableau clinique est celui d’un iléus, avec douleur abdominale surtout en fosse iliaque gauche, arrêt des selles et des gaz avec météorisme. Les nausées et les vomissements sont des signes tardifs.

Le scanner abdominopelvien est l’examen de premier choix avec une sensibilité proche de 100 % et une spécificité supérieure à 90 % et permet de rechercher les complications potentielles (ischémie ou perforation avec péritonite).

En urgence, en l’absence de signe de gravité (perforation digestive, ischémie), le traitement repose sur la détorsion du segment volvulé par voie endoscopique (efficace dans 90% des cas), avec colo-exsufflation et mise en place d’un tube de Faucher pour limiter le risque de récidive à court terme. Des cas de résolution spontanée sont également décrits.

En cas d’échec du traitement conservateur, il est nécessaire d’effectuer une colectomie sans rétablissement de continuité. Un traitement chirurgical d’emblée est indiqué en cas de perforation, péritonite, d’ischémie ou de récidives.