Image
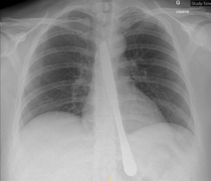
Corps étranger dans le thorax
21.09.2023

Cette radiographie est celle d’une jeune patiente se présentant aux urgences après récidive d’ingestion volontaire d’un objet métallique dans un contexte de pathologie psychiatrique.

La question qui se pose lorsque le geste est extrêmement répétitif est : peut-on éviter l’endoscopie systématique ?

Les guidelines de l’European Society of Gastrointestinal recommandent d’effectuer un CT chez toutes les personnes présentant une suspicion de perforation ou d'autres complications pouvant nécessiter une intervention chirurgicale. Elles proposent une surveillance clinique sans nécessité de retrait endoscopique pour la prise en charge des patient·es asymptomatiques ayant ingéré des objets contondants et de petite taille (à l'exception des piles plates et des aimants).

Elles recommandent une OGD thérapeutique urgente (dans les 2 - 6 heures) pour les corps étrangers provoquant une obstruction œsophagienne complète, et pour les objets pointus ou les piles dans l'œsophage ainsi que dans les 24 heures pour les autres corps étrangers œsophagiens sans obstruction complète (et suggérée pour les corps étrangers dans l'estomac tels que les objets pointus, les aimants, les piles et les objets larges/longs) et dans les 72 heures pour les corps étrangers contondants de taille moyenne dans l'estomac. En l’absence de complications la prise en charge peut-être ambulatoire.

Il n’y a pas de spécificité faite pour les patient·es qui ingèrent de façon volontaire que ce soit dans un but de recherche de soins (patient·es incarcéré·es) ou lié à une pathologie psychiatrique.