Image
Sialadénite suppurée
09.02.2026

Un homme de 45 ans, consulte aux urgences pour une tuméfaction mandibulaire droite évoluant depuis dix jours, associée à une odynophagie et une limitation progressive de l'ouverture buccale. Malgré un traitement par anti-inflammatoires prescrit initialement pour une suspicion de kyste, l'état du patient se péjore avec apparition d'une aphagie aux solides.  L'examen clinique révèle une tuméfaction sous-mandibulaire droite de 5 cm, douloureuse et mobile, avec une ouverture buccale limitée à 2-3 cm. Le bilan biologique montre un syndrome inflammatoire avec hyperleucocytose à 12,6 G/l et CRP à 116 mg/l.

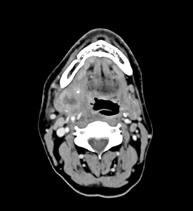
Le CT-scanner cervical (cf. image) confirme une sialadénite abcédée de la glande sous-mandibulaire droite secondaire à un sialolithe proximal du canal de Wharton, sans complication vasculaire.

Le patient est hospitalisé pour une antibiothérapie par co-amoxicilline intraveineuse et une corticothérapie, avec un suivi spécialisé prévu pour envisager l'extraction du calcul salivaire à distance de l'épisode infectieux.

Les sialolithiases représentent jusqu’à 60% des pathologies obstructives des glandes salivaires principales, touchant la glande sous-maxillaire dans 80% des cas et la parotide dans 20% des cas.

L'échographie constitue l'examen de première intention avec une sensibilité et spécificité d'environ 95%, permettant de visualiser la taille, la localisation et la mobilité du calcul ainsi que de planifier le traitement.

Depuis les années 1990, le développement de techniques mini-invasives préservant la glande a permis une réduction des chirurgies de résection. Parmi ces nouveaux traitements citons la sialoendoscopie interventionnelle, la lithotripsie extracorporelle ou intra-canalaire et la chirurgie transorale du canal.

Les mesures conservatrices (massage de la glande, stimulation salivaire, dilatation instrumentale de l'ostium) sont toujours indiquées en première intention et peuvent permettre l'évacuation spontanée des petits calculs mobiles.

Le choix thérapeutique dépend de la taille, de la localisation et de l'accessibilité du calcul. Un traitement précoce améliore significativement le pronostic. Pour les patient·es inopérables présentant des symptômes persistants, l'injection de toxine botulique intra-glandulaire peut être proposée.

Image proposée par Hôpital de La Tour.