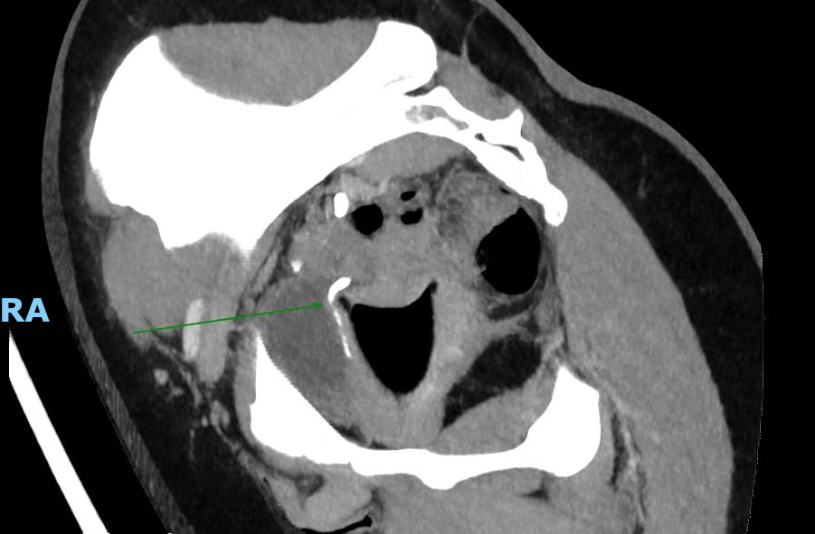
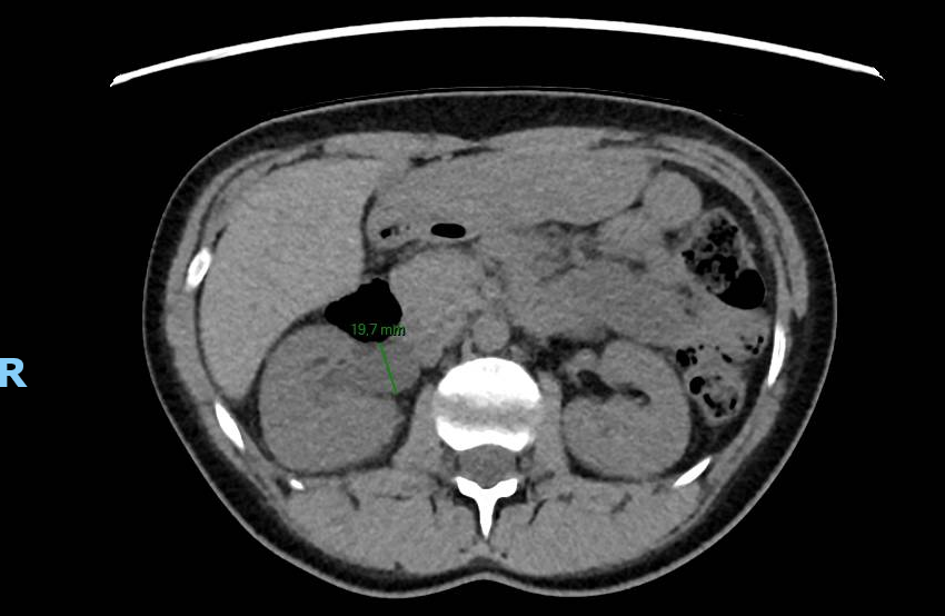
Le CT-scanner réalisé devant une colique néphrétique montre une compression urétérale droite extrinsèque sur une cup menstruelle. Cette dernière est retirée améliorant rapidement les douleurs.
Il existe 5 cas similaires publiés entre 2018 et 2020 (1), tous concernant l’uretère droit. Une étude ex-vivo comparant 14 marques de cup, de tailles et formes différents, a démontré qu’une cup trop grande ou trop rigide pouvait être la cause d’une compression des voies urinaires, en plus d’un inconfort (2).
Les causes les plus fréquentes d’obstruction de l’uretère distal sont les calculs rénaux, les tumeurs pelviennes et abdominales, les sténoses urétérales et les complications chirurgicales.
Dans les causes plus rares, on retrouve des cas de constipation sévère (3) ou des causes vasculaires (artère ombilicale persistante ou élongation des vaisseaux pelviens chez les cyclistes) (4).
Ce cas et la littérature qui y est liée démontre l’importance d’exclure la présence d’une cup en cas de colique néphrétique chez les femmes pré-ménopausées.
Image proposée par Ophélie Viret et Perrine Truong, CHUV.