Image
La dent perdue
10.05.2023

Un patient de 60 ans développe une dyspnée aiguë quelques heures après s’être rendu chez le dentiste. Il rapporte avoir subit plusieurs extractions dentaires et lors du moment du décompte des dents enlevées, il en manquait une. Le dentiste a conclu que le patient avait dû l’avaler. Par la suite, le patient présente une gêne thoracique motivant sa consultation aux urgences.

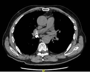
Le CT-scan thoracique, dont on voit ici le scout, met en évidence une structure hyperdense, de densité métallique, au sein de la bronche intermédiaire droite, pouvant correspondre à une couronne dentaire métallique, sans signe d’occlusion complète de la bronche. L’évolution est favorable après récupération de la dent logée dans la bronche intermédiaire droite par bronchoscopie.

L’aspiration de corps étranger dans les voies aériennes n’est pas si rare. En plus des enfants, les personnes à risque sont les personnes âgées souffrant de démence et/​ou maladies neurodégénératives, les suites d’une visite chez la ou le dentiste ou encore les personnes ayant subit un traumatisme maxillo-facial.

La présentation clinique peut être extrêmement variable ; de l’absence de symptômes à l’asphyxie en passant par la simple toux ou la détresse respiratoire. Les complications sont les lésions mécaniques des voies respiratoires, les atélectasies en aval, l’abcès, l’empyème (flore buccale), le pneumothorax, et a plus long terme les bronchectasies. Lors d’un traumatisme maxillo-facial avec des dents manquantes, il est important de les rechercher activement et exclure une aspiration dans les voies aériennes.