Image
Luxation du genou
30.08.2025

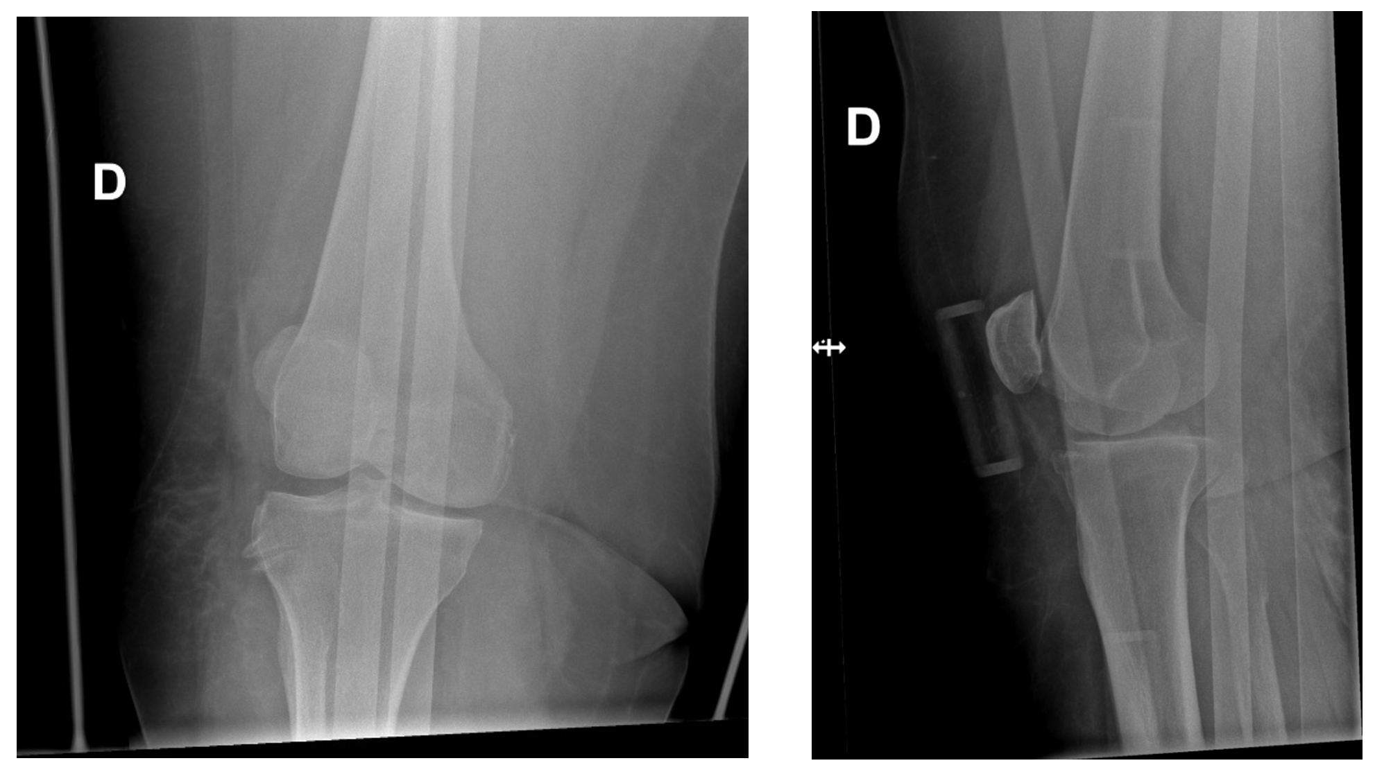
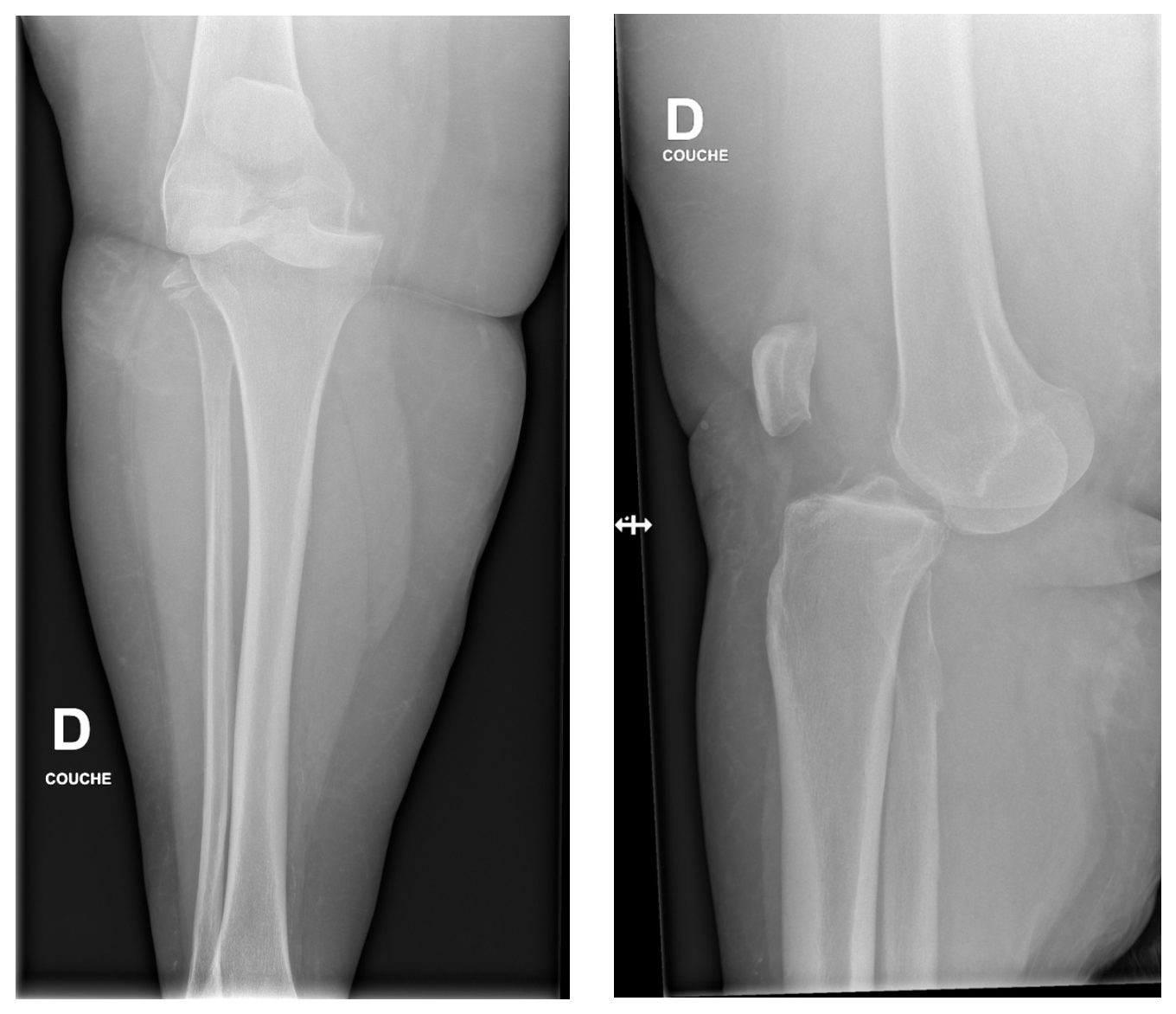
Les radiographies montrent une luxation antérieure du genou avant et après réduction.

Les luxations tibio-fémorales du genou sont de vraies urgences chirurgicales, car elles sont associées à des lésions vasculaires pouvant compromettre la viabilité de la jambe. L’incidence de ces luxations est de 0.001-0.013% et touchent le plus souvent des hommes dans la quarantaine (H:F= 4:1).

Le mécanisme est souvent de haute cinétique mais des luxations tibio-fémorales peuvent survenir à plus faible cinétique comme pour cette patiente qui a chuté dans les escaliers. Le principal facteur de risque pour les luxations à basse cinétique est l’obésité.

La tuméfaction limite souvent l’examen clinique du genou. Certaines luxations se réduisent spontanément avant l’évaluation clinique qui doit comprendre une évaluation de la motricité, de la sensibilité et de la vascularisation du membre inférieur.

Il existe 5 types de luxation, définie par le déplacement du tibia par rapport au fémur : postérieur, antérieur, médial, latéral, et rotatoire. Les luxations antérieures et postérieures sont les plus fréquentes.

La prises en charge consiste à effectuer rapidement une réduction fermée sous sédation-analgésie. A noter que les luxations postéro-latérales ne sont pas réductibles manuellement. Après réduction, il faut évaluer les pouls (palpés et au doppler) ainsi que le rétablissement de la congruence articulaire par de nouvelles radiographies. En cas d’absence de pouls ou d’asymétrie, un angio-CT sera effectué en urgence suivi d’une prise en charge par les spécialistes de chirurgie vasculaire. Il existe toujours des lésions ligamentaires en cas de luxation du genou. Un bilan par IRM permet de faire l’état des lieux des lésions méniscales et capsulo-ligamentaires et programmer la prise en charge orthopédique.

Concernant les complications, la lésion de l’artère poplité est la plus dangereuse. Jusqu'à 40% des patient·es avec une luxation fémoro-tibiale ont une atteinte vasculaire de cette artère. Les autres complications sont les lésions du nerf fibulaire (chez 23% des ·es), le syndrome des loges et la thrombose veineuse profonde. D’autres complications comme des pseudo-anévrysmes, une instabilité articulaire, une arthrose, une raideur, et des douleurs chroniques peuvent survenir. Finalement, des fractures tibiale ou fibulaire proximale sont parfois associées à cette luxation.

Images proposées par Fanny Delacrétaz, HRC Rennaz.