Image
Ultrason pleuro­­pulmonaire
30.08.2022

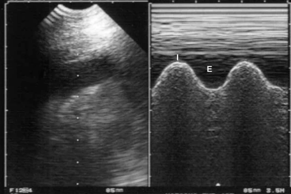
L’image de gauche montre une vue intercostale avec une sonde abdominale convexe (tu noteras que le « bat sign », indispensable pour identifier le ligne pleurale et interpréter correctement les images, n’est pas franc). La zone anéchogène est évocatrice d’une épanchement pleural mais ne permet pas de la confirmer.

L’image de droite montre la même vue en mode TM (ligne de tir indiquée sur l’image de gauche). L’excursion centrifuge inspiratoire de la surface pulmonaire est clairement mise en évidence par le signe de la « sinusoïde », un signe spécifique d’épanchement pleural et un signe attestant par ailleurs d’une bonne fluidité (I, inspiration, E, expiration).