Image
Syndrome de Good­pasture
27.10.2022

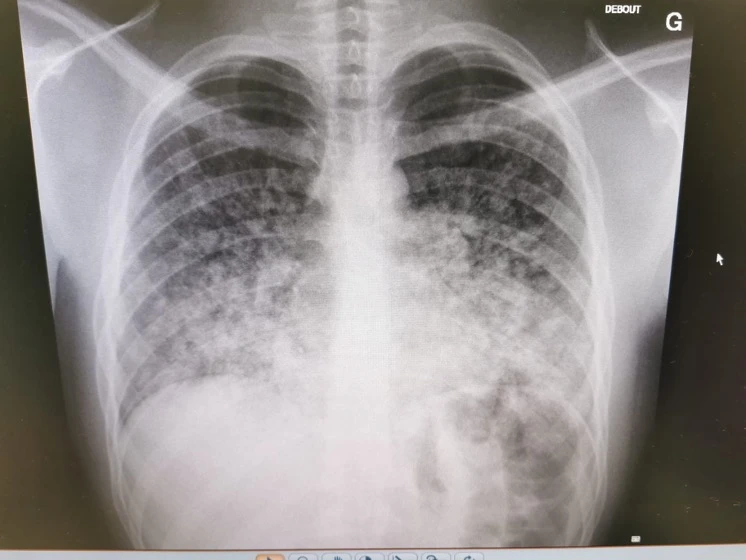
Radiographie du thorax :

Syndrome de Goodpasture

L’image ci-dessus est une radiographie debout, antéro-postérieure d’un jeune patient se présentant avec une dyspnée et une hémoptysie. La radiographie démontre un infiltrat alvéolaire diffus, prédominant aux deux bases, signant d’une hémorragie alvéolaire.

Le syndrome de Goodpasture, aussi appelé la maladie des anticorps (AC) anti-membrane basale (MBB), est une maladie auto-immune rare, qui affecte les reins et les poumons, provoquant une hémorragie alvéolaire et une glomérulonéphrite.

La personne atteinte présente des AC circulants contre le domaine NC‑1 de la chaine 3 du Collagène de type IV des membranes basales des capillaires des alvéoles et des glomérules.

Le syndrome est précipité par certains médicaments (Alemtuzumab), l’inhalation de cocaïne, cannabis, Infections des VAS, cigarette, exposition à des solvants organiques et des hydrocarbures.

Le diagnostic est posé devant une clinique typique : l’insuffisance rénale aiguë avec la trilogie urinaire : protéinurie, hématurie microscopique, rouleaux de globules rouges ainsi que des infiltrats alvéolaires bibasaux à la radiographie et une sérologie positive pour des AC anti-MBB. Le diagnostic gold standard est la biopsie rénale. Le traitement repose sur les corticoïdes, le cyclophosphamide et l’échange plasmatique. La présentation clinique peut d’emblée requérir une intubation et une dialyse en urgence si cela est indiqué.