Quiz
Question n° 135
11.08.2025

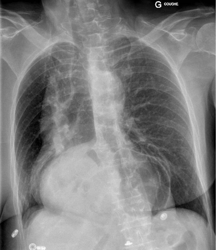
Tu prends en charge un patient de 60 ans, connu pour une BPCO de stade 2A selon GOLD, qui présente une dyspnée nouvelle, sans autres plaintes. Le status montre une légère tachypnée, sans utilisation de la musculature accessoire, avec une auscultation pulmonaire lointaine et qui nécessite 2L/min d'oxygénothérapie. Le status cardio-vasculaire et neurologique sont dans la norme.

Voici sa radiographie du thorax : 

Que fais-tu ensuite ?