Quiz
Question n° 65
15.01.2024

Une patiente de 55 ans connue pour un diabète non insulino-requérent mal contrôlé, présente depuis 1 mois des mouvements involontaires du membre supérieur gauche en péjoration, sans perte de force ni de sensibilité aux 4 membres, sans céphalées, ni état fébrile. Elle est également connue pour un antécédent de mélanome opéré il y a 5 ans.

À l’examen clinique, les paramètres vitaux sont dans la norme. L’examen neurologique met en évidence des mouvements choréiformes du membre supérieur gauche et de moindre importance du membre inférieur gauche, le reste de l’examen est dans la norme.

Les examens de laboratoires montrent une glycémie à 24 mmol/​l, normo-osmolaire, le reste de la chimie sanguine et de la formule saguine simple est dans la norme. On retrouve des cétones dans les urines. La gazométrie montre une acidose métabolique compensée avec un anion gap à 19.

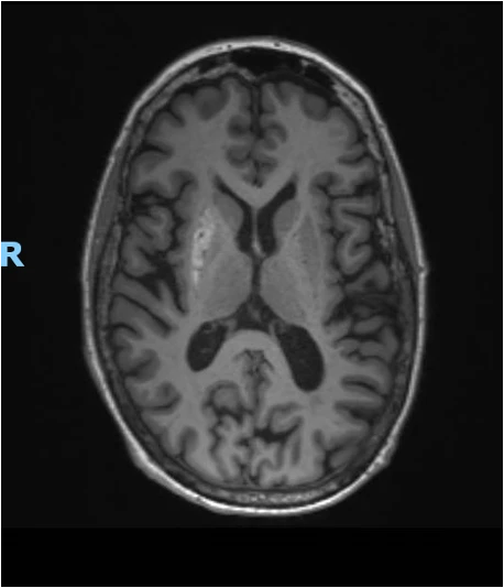
L’IRM démontre une lésion mal délimitée, en hypersignal spontané T1 (cf image ci-dessous), en hyposignal T2, en contour de géographie, s’étendant à hauteur du putamen droit, sans prise de contraste, sans restriction de la diffusion.

Quel est ton diagnostic ?