Quiz
Question n° 48
04.09.2023

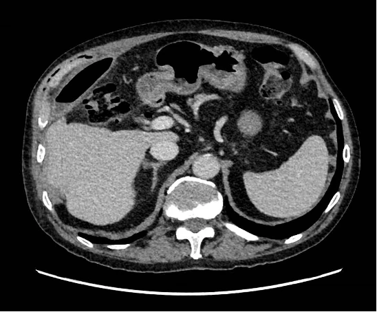
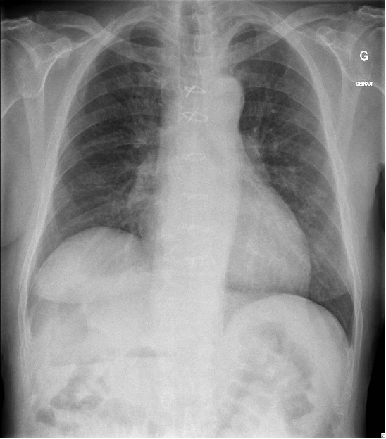
Un patient de 69 ans, connu pour maladie des anticorps anti-phospholipides et une fibrillation auriculaire anticoagulée, présente des douleurs de l’hypochondre D depuis 2 semaines, péjorées le matin et après les repas. Le patient a chuté il y a quelques mois. Au status le patient est stable, afébrile, et présente des douleurs insupportables à la palpation basi-thoracique D. L’hypochondre D est également douloureux. On retrouve de l’emphysème sous-cutané basithoracique D. Le laboratoire met en évidence : leucocyte à 34 G/​l, à prédominance neutrophilique, une élévation de la CRP200 mg/​l, des tests hépato-pancréatiques dans la norme.

Bilan radiologique complémentaire :

Le bilan radiologique suivant peut correspondre à :